
Correction of mandibular retrusion in growing patients with A6 mandibular advancement
By Dr. Giacomo Scuzzo
Dr Giacomo Scuzzo
Degree in Dentistry and Dental Prosthetics from the European University of Madrid (Spain).
Specialised in Orthodontics at the University of Ferrara (Italy).
Scholarship holder in Digital Orthodontics at the Postgraduate in Orthodontics, University of Ferrara (Italy).
Orthodontic Masters in Tweed, MBT, Bi-Dimensional and Damon technique.
Professional activity exclusively in Aesthetic Orthodontics, with special interest in Lingual Orthodontics and Aligners.
Dr. Scuzzo has spoken and published in Italy and abroad on Lingual Orthodontics, Aligners and Hybrid Techniques.
Academic Positions:
- Adjunct Professor in Digital Orthodontics at the Postgraduate in Orthodontics, University of Ferrara (Italy)
- Adjunct Professor in Lingual Orthodontics at the Postgraduate in Orthodontics, University of Ferrara (Italy)
- Adjunct Professor in Lingual Orthodontics at the Master in Orthodontics, University of Salamanca (Spain)
- Adjunct Professor in Lingual Orthodontics at the Postgraduate in Orthodontics, University of Turin (Italy)
- Clinical Instructor at the Master in Lingual Orthodontics of the Complutense University of Madrid (Spain)
Professional Memberships and Roles:
- President of the Italian Society of Lingual Orthodontics (AIOL)
- KOL & Official Speaker for AngelAligner
- Active Member of the World Society of Lingual Orthodontics (WSLO)
- Active Member of the Italian Lingual Orthodontics Society (AIOL)
- Member of the Italian Academy of Orthodontics (AIDOR)
Patient introduction
Age: 10 years old
Gender: Male
Treatment time: 9 months
Number of aligners: 25
Chief complaint: Dental spaces, Teeth forward, Incompetent lips
Section Class II division 1 malocclusion
Product KiD1
Malocclusion A6 Correction of Mandibular Retrusion in Growth phase patient | Skeletal Class II | Class II Division 1 malocclusion | Deep bite | Mixed dentition
Protocoles and features A6 Mandibular advancement
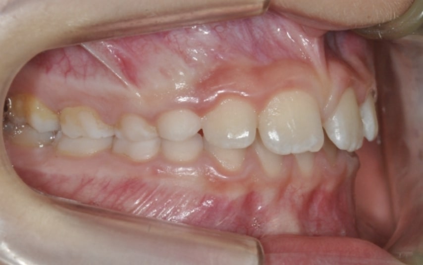
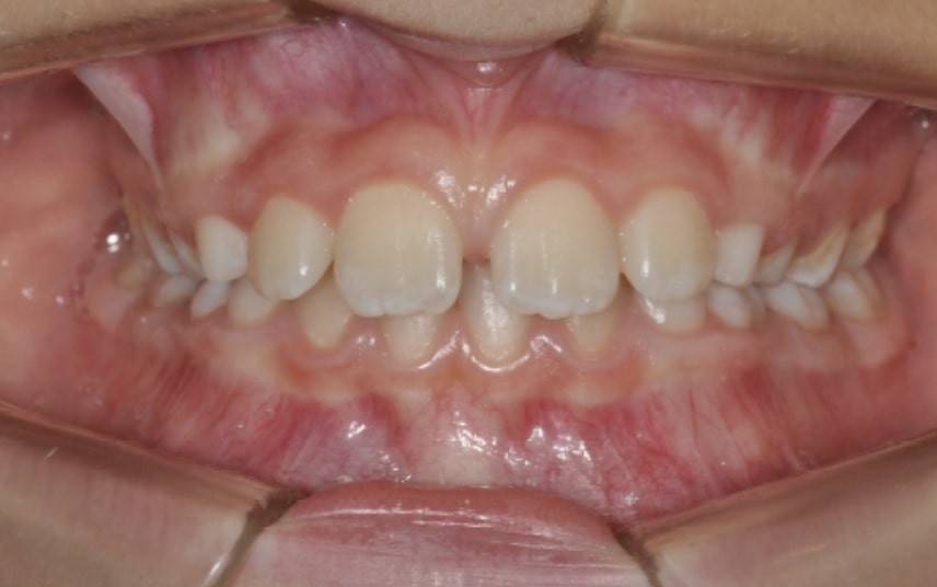
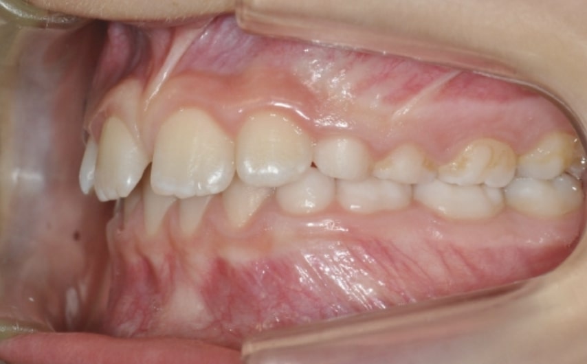
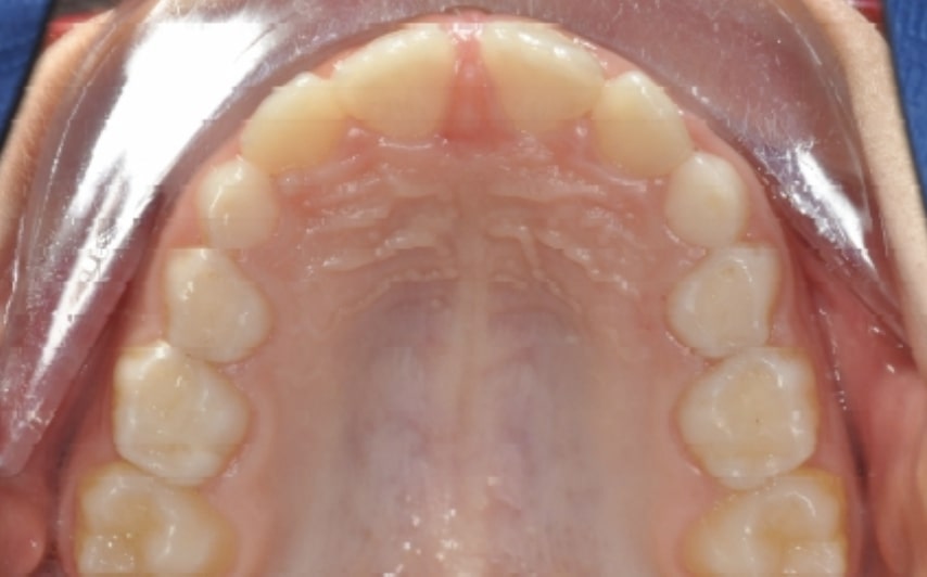
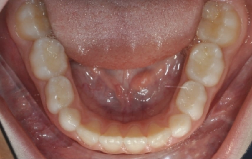
Initial Photos and datas












Clinical examination and diagnosis
FUNCTIONAL: Suction of the lower lip and Labial incompetence.
FACIAL: class 2 profile with Lower jaw deficit
SOFT TISSUES ANALYSIS: Upper Frenulum with low insertion
SKELETAL PATERN: Class 2
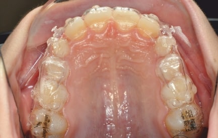
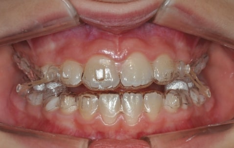
DENTAL:
- Molar and Canine class 2 on the right side – Molar and Canine clss 1 on the left side
- Upper diastema (11-21)
- Increased Overjet
- DeepBite
- Reduced Transversal Diameters
- Deviated Lower Midline 2 mm to the Right
Treatment plan
Step 1:
- Upper Archform enlargement (dental expansion)
- Normalize Overjet/Overbite (Lower Posterior Extrusion)
- Alignment/Leveling Both Arches
Step 2:
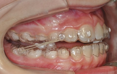
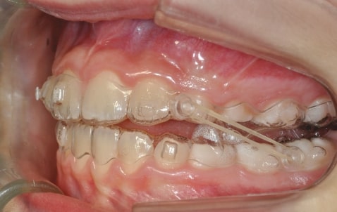
- Mandibular Advancement (A6 protocol) + angelBuon for Class 2 Elastics (Night Time)
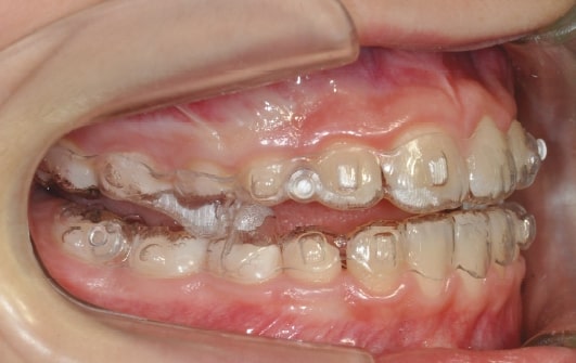
Treatment details
AngelAligner KiD 1 (aligners changed every 10 days)
- Upper frenulum surgery
- Class 1 both sides
- Overjet/Overbite Correction
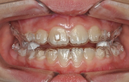
Treatment setup





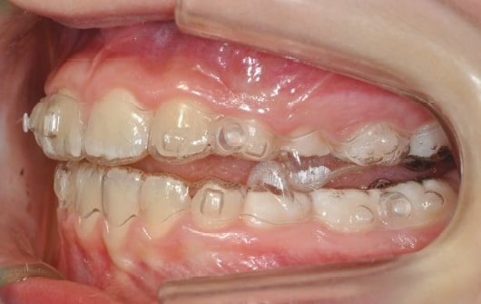
Treatment progress








Download the full case to see the treatment results, the conclusion and get more details on the solution
To download this report, you agree to subscribe to the Angel Aligner newsletter. You can unsubscribe at any time in your settings centre.