
Angel Aligner PRO: Correction of a class III malocclusion with lower molar distalization
By Dr. David González Zamora
Dr. David González Zamora has balanced a professional career as an orthodontist, educator, and clinical advisor. He practices exclusively as an orthodontist at Clínica Smilodon, where he is the founder and medical director. He has taught at various Spanish universities to date, offering classes in postgraduate orthodontics. He regularly participates in courses and conferences worldwide, sharing his expertise in the field of digital orthodontics and establishing himself as an international authority. He currently serves on the advisory board of Angel Aligner, contributing to the improvement of clear aligner systems.
Patient introduction
Age: 19
Gender: Female
Patient initials: MRA
Treatment time: 13 months
Number of aligners: 39
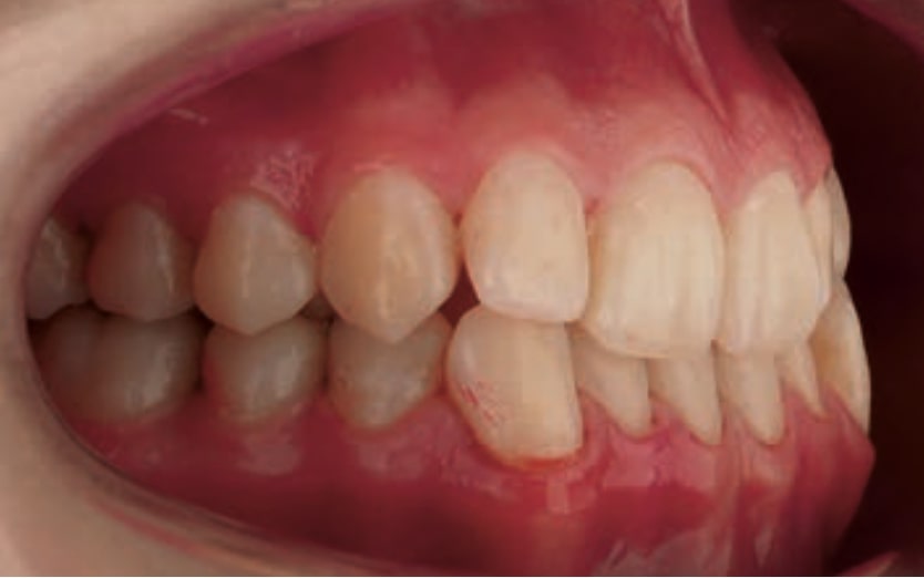
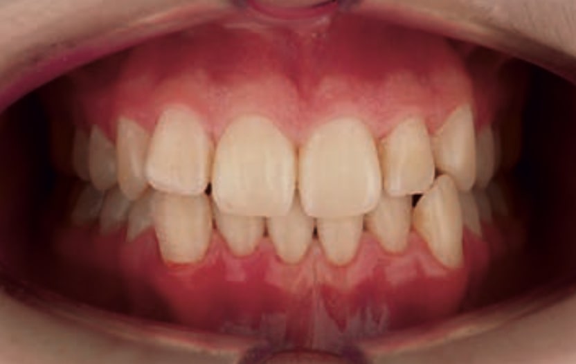
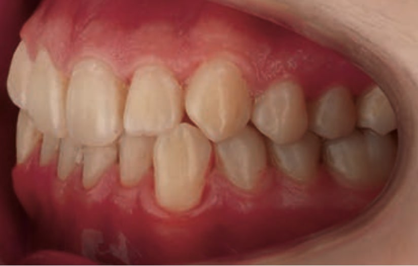
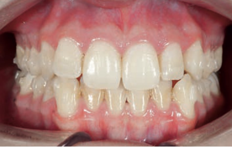
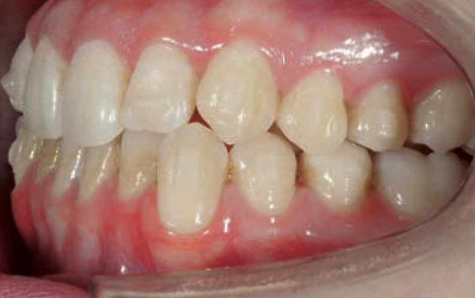
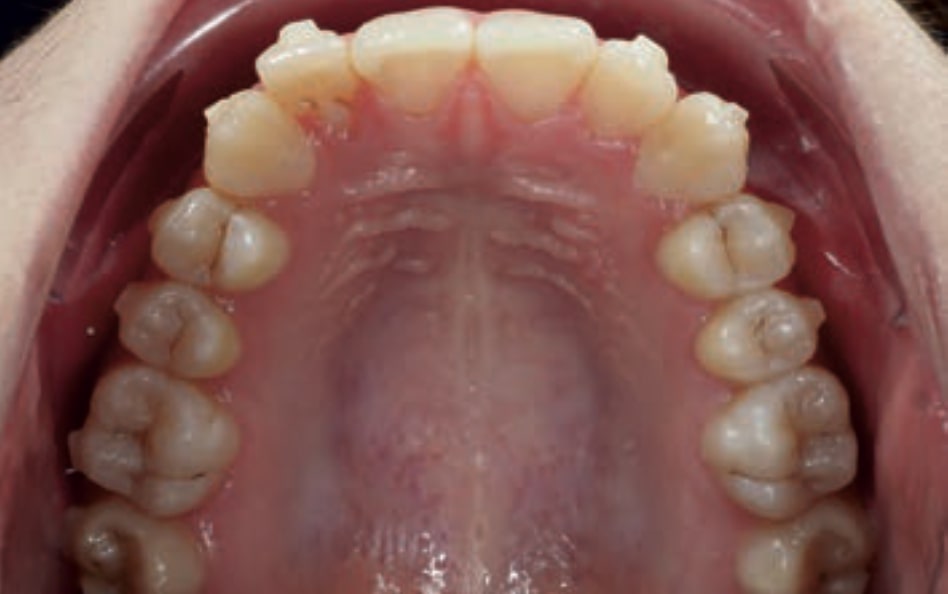
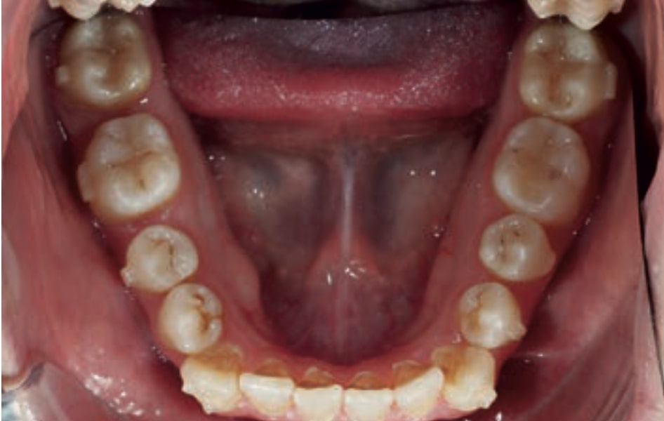
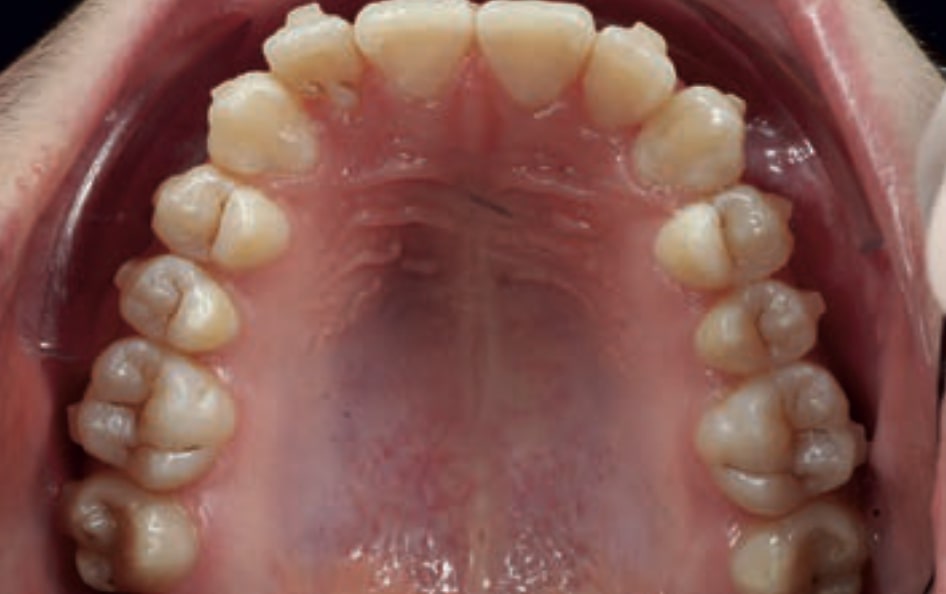
Chief complaint: The patient, a 19-year-old woman, was evaluated to undergo orthodontic treatment using the Angel Aligner Pro system. She presents with a skeletal Class III, mesofacial, with a dental Class III malocclusion and a 2 mm deviation of the lower midline to the left. Teeth 33 and 43 are out of the arch and cortical bone, with a crossbite issue on tooth 33. Fortunately, no functional issues affecting swallowing or breathing have been detected. The patient’s motivation for starting treatment was a general review of her dental and aesthetic health. The soft tissue analysis reveals mandibular protrusion that influences her facial profile. This diagnosis highlights the need for a comprehensive approach to address dental and skeletal misalignments, improving both the patient’s functionality and facial aesthetics.
Section Crowding
Product Pro
Malocclusion Class III, Deep-bite, Cross-bite, Lower Distalization
Protocoles and features A8 Molar distalization
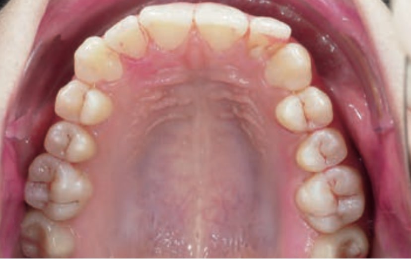
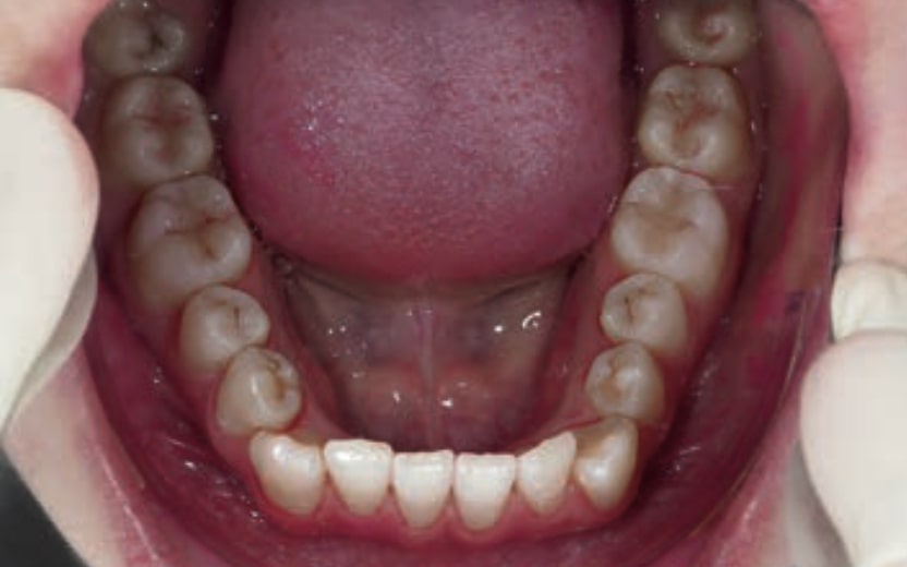
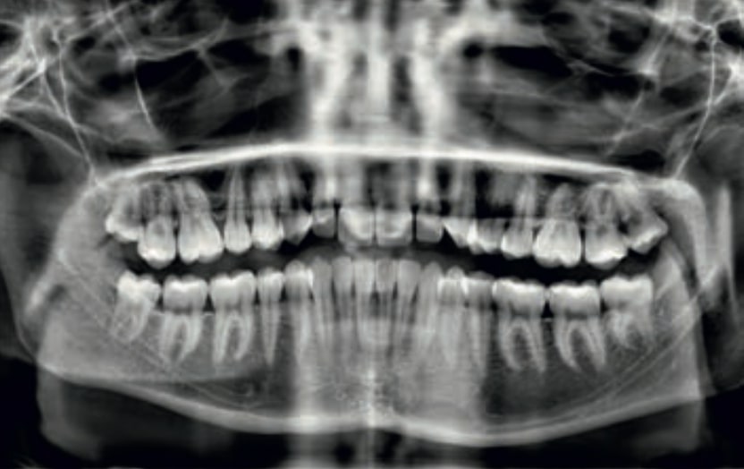
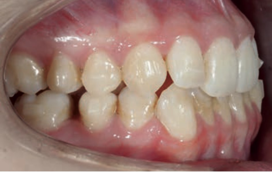
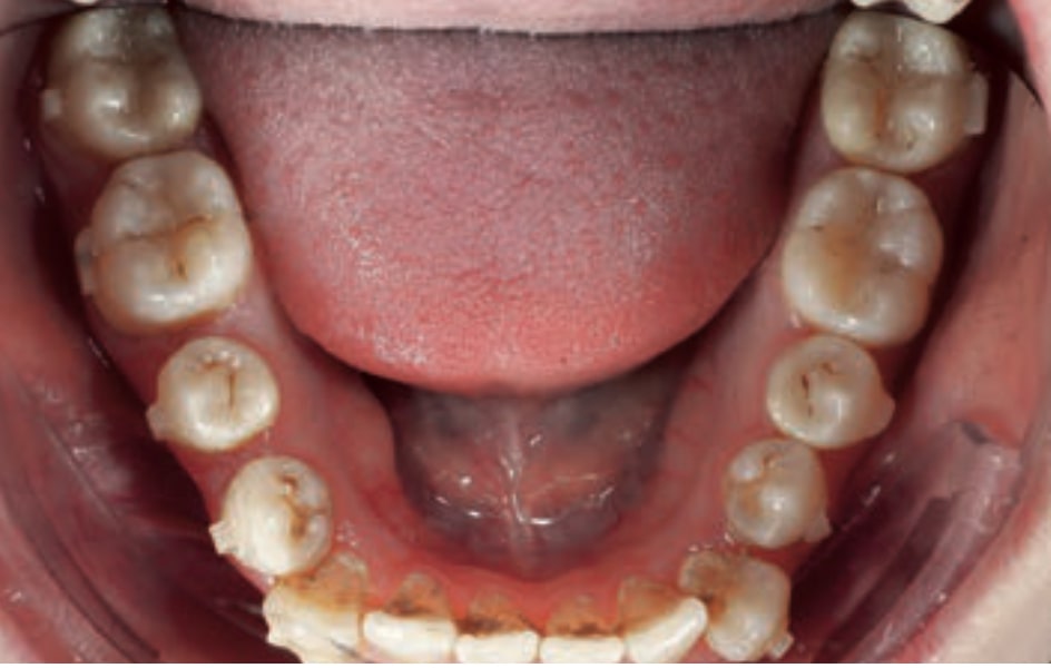
Initial Photos and datas












Clinical examination and diagnosis
- Patient Age: 19 years old
- Skeletal class III
- Dental Class III, 2 mm deviation of the lower midline to the left. 33 and 43 out of the arch and the cortical bone.
- Crossbite of 33.
- No functional issues
- Patient Motivation: General Review
- Soft Tissue Analysis: Jaw protrusion
Treatment plan
- Distalize third and fourth quadrant
- Solve the cross bite of 33.
- Level Curve of Spee.
- Improve the root position of 33 and 43 in relationship with the cortical bone.
Treatment details
General Dentistry:
- Solve gingivitis and reinforce the patient’s oral hygiene techniques to ensure optimal oral health.
- Treat existing cavities with dental fillings to guarantee the integrity of the teeth before starting orthodontic treatment.
Orthodontics:
- Distalization of the Third and Fourth Quadrants: Move the teeth distally in these quadrants to achieve a Class I relationship using the A8 protocol, improving the patient’s dental alignment and occlusion.
- Solve the Crossbite of Tooth 33: Correct the position of tooth 33 to eliminate the crossbite, contributing to a more balanced occlusion.
- Intrusion of the Lower Anterior Teeth: Adjust the vertical position of the lower anterior teeth to level the curve of Spee, improving the harmony of the occlusion.
- Improve the Root Position of Teeth 33 and 43: Optimize the position of the roots of teeth 33 and 43 in relation to the cortical bone to ensure adequate bone support and long-term stability.
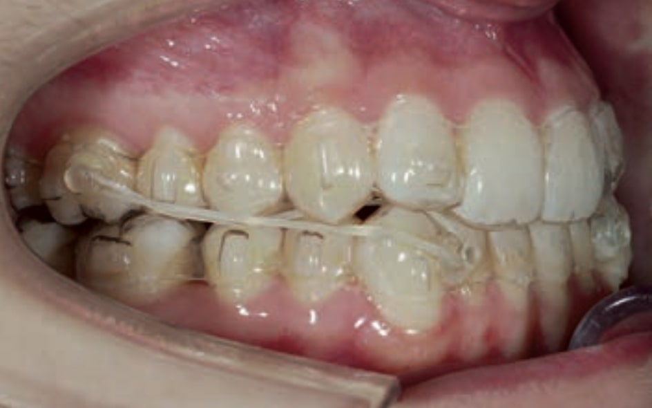
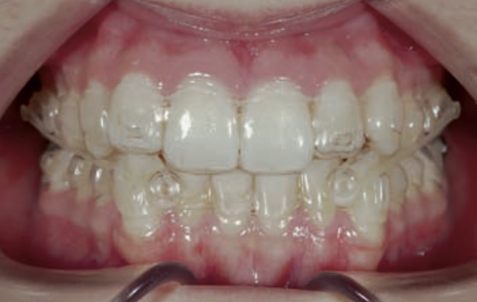
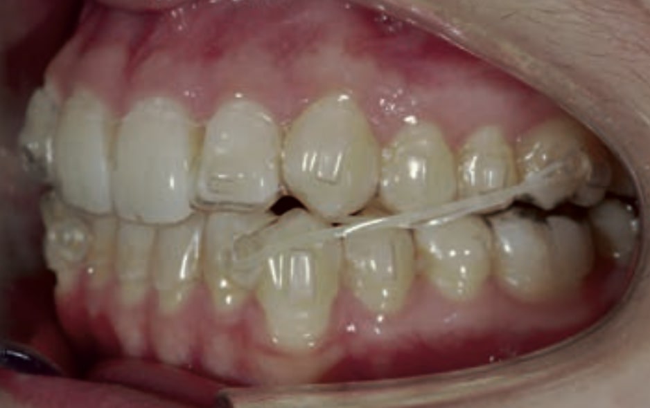
Treatment setup





Treatment progress










Download the full case to see the treatment results, the conclusion and get more details on the solution
To download this report, you agree to subscribe to the Angel Aligner newsletter. You can unsubscribe at any time in your settings centre.