See the Results

Angel Aligner Case Results with Complex Movements

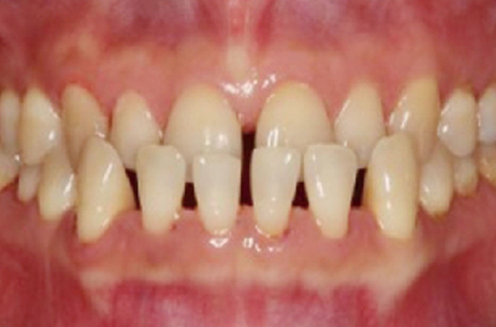
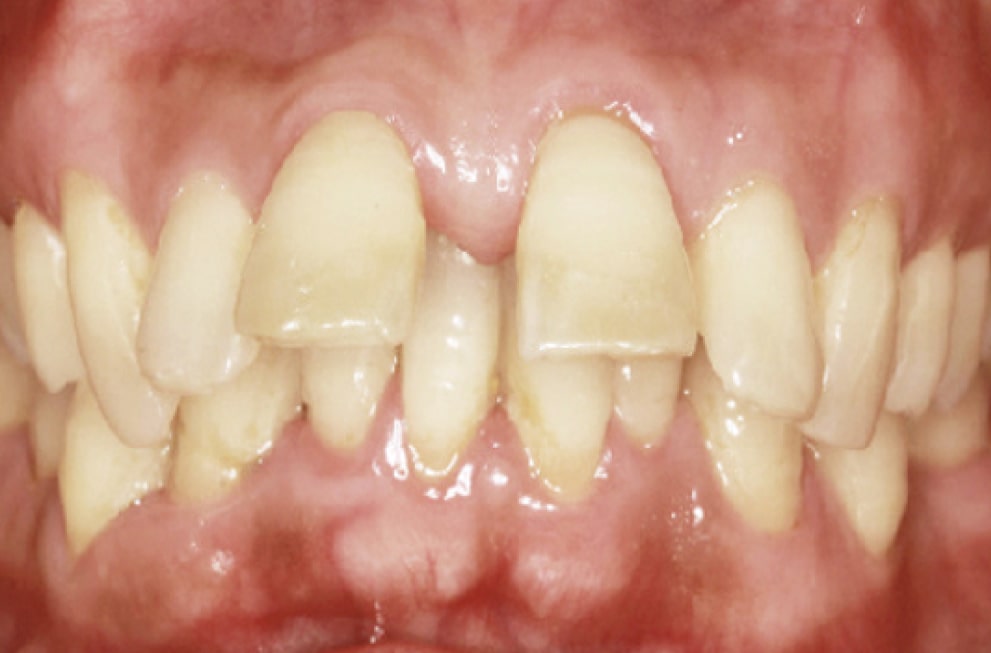
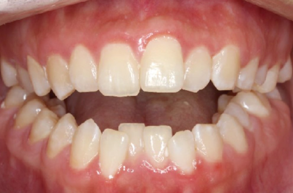
Deep Overbite + Lower Extraction

BEFORE

A digital model of misaligned upper teeth with several diamonds labeled .5 pointing to different teeth, indicating measurements or adjustments needed.
A close-up of human teeth showing severe misalignment, crowding, and overlapping, with uneven spacing and yellow discoloration. The gums appear healthy but are visible due to the irregular teeth arrangement.

AFTER

A digital model of misaligned upper teeth with several diamonds labeled .5 pointing to different teeth, indicating measurements or adjustments needed.
Close-up of human teeth and gums showing the upper and lower front teeth with healthy pink gums, slight enamel wear visible on some teeth.

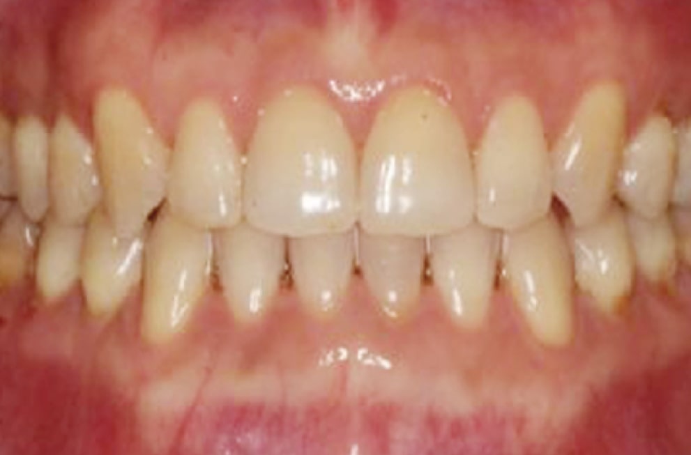
Underbite + Crossbite

BEFORE

A digital illustration of human teeth showing an open bite, where the upper and lower front teeth do not touch when the mouth is closed. The gums and teeth are clearly visible.
A close-up of a persons upper and lower teeth showing noticeable gaps, gum recession, and uneven tooth alignment. The gums appear red and mildly inflamed.

AFTER

A digital illustration of teeth showing severe crowding and misalignment in both the upper and lower jaws, with gums partially visible.
Close-up of a persons teeth with visible gum line. The teeth appear slightly misaligned, with some discoloration and plaque buildup near the gums. The mouth is open, showing both upper and lower teeth.

Open-Bite

BEFORE

A digital illustration of human teeth showing the upper and lower jaws, with numerical labels .3 and .5 indicating measurements on the upper front and side teeth.
Close-up of an open mouth showing teeth with noticeable gaps and irregular alignment, indicating dental crowding and spacing issues. The gums appear pink and healthy.

AFTER

A digital illustration of human teeth showing gaps between the upper front teeth, labeled with measurements 0.3 and 0.5, likely indicating spacing or reduction amounts.
Close-up of a persons mouth showing their upper and lower teeth with some yellowing and plaque buildup. The gums appear pink and slightly inflamed. The teeth are generally aligned but have minor imperfections.

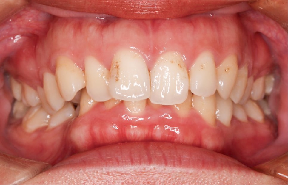
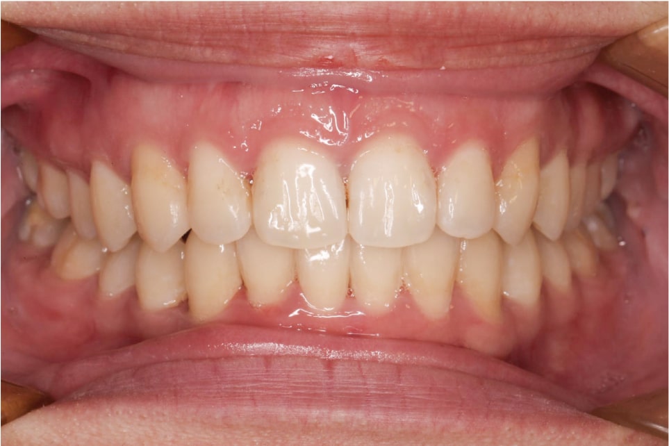
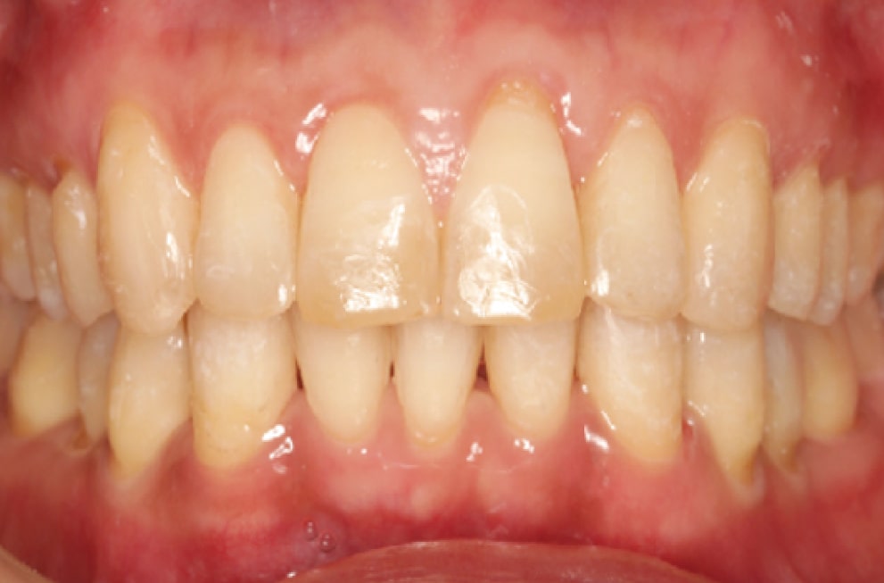
Deep Overbite + Lower Extraction

BEFORE

A digital illustration of upper and lower teeth showing four front teeth with labels indicating .5 below each, suggesting measurements or spacing adjustments.
Close-up of a persons mouth showing upper and lower teeth with plaque buildup, mild crowding, and visible gums. The lips are parted to clearly display the dental and gum condition.

AFTER

Digital illustration of upper and lower teeth showing dental attachments and spaces between lower front teeth, each marked with a label indicating .5 likely referring to millimeter measurements for dental work.
Close-up view of a persons mouth showing upper and lower teeth and gums. The lips are pulled back to clearly display the arrangement and condition of the teeth and surrounding gum tissue.