
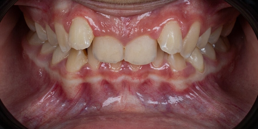
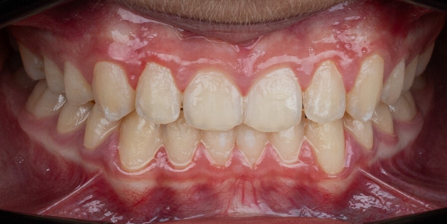
Korrektur einer Klasse II/2 Malokklusion bei heranwachsenden Patienten mit der A6- Mandibulären-Protrusionslösung
Dr. Isabel Flores Allen
Ein 13-jähriger Patient mit einer Klasse-II-Division-2-Malokklusion und einem tiefen Biss wurde mit Angel Aligner A6 Mandibular Advancement behandelt. Das Protokoll kombinierte Unterkiefervorverlagerung, Zahnbogenerweiterung, Schneidezahnintrusion und Verfeinerung mit Klasse-II-Gummibändern, wodurch innerhalb von 10 Monaten eine funktionelle Bisskorrektur und eine verbesserte Ästhetik des Lächelns erreicht wurden.



Angel Aligner™ Pro: Korrektur einer Klasse II/1 Malokklusion
Dr. Dalia Latkauskiene
Dieser klinische Erfahrungsbericht von Dr. Dalia Latkauskiene beschreibt die Behandlung einer 25-jährigen Patientin mit einer skelettal-dentalen Klasse II/1-Malokklusion. Mithilfe des Angel Aligner™ PRO Systems und des Dual-Material-Ansatzes konnten eine Molarenderotation, eine Korrektur der Mittellinie, die Schließung des offenen Bisses sowie die Herstellung einer stabilen Klasse I Okklusion erreicht werden. In nur 12 Monaten und mit 40 Alignern wurden präzise Zahnbewegungen, eine funktionelle Verbesserung und eine optimierte Ästhetik erzielt.



Angel Aligner™ Pro: Korrektur einer Klasse II Malokklusion durch Distalisierung mit dem A8- Protokoll und einem asymmetrischen Bite Jump
Dr. Romina Vignolo Lobato
Dieses Patientenbeispiel von Dr. Romina Vignolo Lobato zeigt die Korrektur einer Klasse II Malokklusion mit dem Angel Aligner™ Pro System durch Distalisierung mit dem A8-Protokoll und einem asymmetrischen Bite Jump. Innerhalb von elf Monaten und mit 30 Alignern konnten die Engstände, die Bisslage und das Gesichtsprofil der zwölfjährigen Patientin optimiert werden. Der minimalinvasive, wachstumsadaptierte Ansatz ermöglichte eine effiziente Behandlung und eine verbesserte Vorhersagbarkeit.



Korrektur der Unterkiefer-Retrusion bei heranwachsenden Patienten mit der A6-Mandibulären-Protrusionslösung
Dr. Giacomo Scuzzo
Dieses Patientenbeispiel von Dr. Giacomo Scuzzo zeigt einen innovativen Ansatz zur Korrektur einer Unterkiefer-Retrusion bei heranwachsenden Patienten mit der A6-Mandibulären-Protrusionslösung. Die A6-Lösung kombiniert die orthopädische und kieferorthopädische Behandlung in einer einzigen, effizienten Phase. Dabei werden sowohl Zahnfehlstellungen als auch die Bisslage gleichzeitig korrigiert. Dieser Ansatz optimiert nicht nur die Behandlung, sondern erhöht auch den Komfort und die Compliance der Patienten, da der Einsatz mehrerer Apparaturen und häufige Anpassungen minimiert werden.



Angel Aligner PRO: Korrektur einer Klasse-III- Fehlstellung mit Distalisierung der unteren Molaren
Dr. David González Zamora
Dr. David González Zamora behandelte eine 19-jährige Patientin mit einer kombinierten skelettalen und dentalen Klasse-III-Malokklusion unter Einsatz von Angel Aligner™ Pro. Die 13-monatige Behandlung umfasste die Distalisierung der unteren Molaren, die Korrektur des Kreuzbisses sowie die präzise Wurzelausrichtung der unteren Eckzähne. Alle Bewegungen wurden mit nur 39 Alignern ohne Refinement erzielt.
Das bewährte „7+3“-System mit zwei Materialien ermöglichte eine präzise Kraftapplikation, exakte Zahnbewegungen und ein effizientes, vorhersagbares Behandlungsergebnis.

