
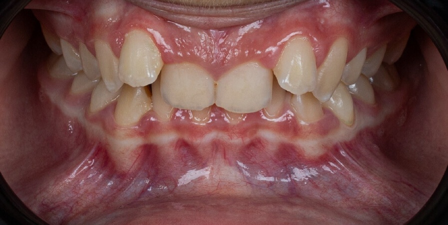
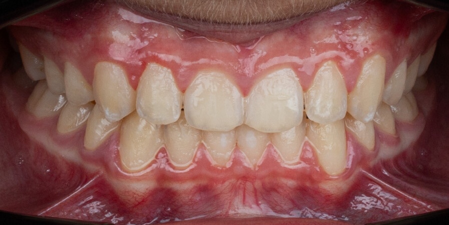
Corrección de la maloclusión de Clase II División 2 en pacientes en crecimiento utilizando Avance mandibular A6
Dra. Isabel Flores Allen
Un paciente de 13 años con maloclusión de clase II división 2 y mordida profunda fue tratado con el sistema de avance mandibular Angel Aligner A6. El protocolo combinó el avance mandibular, la expansión del arco, la intrusión de los incisivos y el refinamiento con elásticos de clase II, logrando una corrección funcional de la mordida y una mejora de la estética de la sonrisa en 10 meses.



Angel Aligner PRO: Corrección de una maloclusión de clase II con distalización superior utilizando el protocolo A8 y salto virtual asimétrico
Dra. Romina Vignolo Lobato
Este caso, dirigido por la Dra. Romina Vignolo Lobato, muestra el tratamiento de una paciente de 12 años con una maloclusión de clase II. Utilizando el sistema Angel Aligner Pro con el protocolo A8 y un salto virtual asimétrico, el tratamiento logró resolver el apiñamiento, corregir la mordida y mejorar el perfil facial en solo 11 meses con 30 alineadores. El enfoque mínimamente invasivo combinó la eficiencia con un control preciso, lo que permitió obtener resultados tanto funcionales como estéticos.



Corrección del retrognatismo mandibular en pacientes en crecimiento con el dispositivo de avance mandibular A6
Dr. Giacomo Scuzzo
Este caso muestra un enfoque innovador para corregir la retrusión del maxilar inferior en pacientes en crecimiento utilizando el Angel Aligner A6. El sistema combina el tratamiento ortopédico y ortodóncico en un único protocolo, permitiendo el avance simultáneo del maxilar inferior y la alineación de los dientes. Gracias a la planificación digital y a los alineadores estéticos, el tratamiento es eficaz y cómodo para el paciente. Este caso fue tratado por el Dr. Giacomo Scuzzo



Angel Aligner PRO: corrección de una maloclusión de clase III con distalización de molares inferiores
Dr. David González Zamora
El Dr. David González Zamora trató con éxito a una paciente de 19 años con maloclusión esquelética y dental de Clase III utilizando Angel Aligner Pro. El tratamiento, de 13 meses de duración, consistió en la distalización de molares inferiores, la corrección de la mordida cruzada y la alineación radicular de los caninos inferiores, y se completó en 39 alineadores sin refinamientos. El sistema de doble material «7+3» garantizó un control preciso y unos resultados eficaces.

