
Correzione della Malocclusione di Classe II Divisione 2 nei pazienti in crescita tramite Avanzamento Mandibolare A6
Dott.ssa Isabel Flores Allen
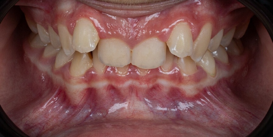
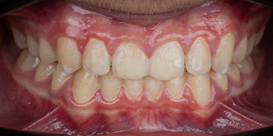
Un paziente di 13 anni con malocclusione di classe II divisione 2 e morso profondo è stato trattato utilizzando Angel Aligner A6 Mandibular Advancement. Il protocollo ha combinato l’avanzamento mandibolare, l’espansione dell’arcata, l’intrusione degli incisivi e il perfezionamento con elastici di classe II, ottenendo una correzione funzionale del morso e un miglioramento dell’estetica del sorriso in 10 mesi.



Angel Aligner PRO : Correzione di una malocclusione di Classe II, Divisione I
Dr.ssa Dalia Latkauskiene
Questo caso, condotto dalla dottoressa Dalia Latkauskiene, presenta il trattamento di una paziente di 25 anni con malocclusione di classe II divisione 1. Utilizzando il sistema Angel Aligner PRO con meccanica a doppia modalità, il trattamento ha consentito di ottenere la derotazione dei molari, la correzione della linea mediana, la chiusura del morso aperto e il raggiungimento della classe I. In soli 12 mesi e con 40 allineatori, l’approccio ha garantito un controllo preciso, una migliore funzionalità e un sorriso notevolmente migliorato.



Angel Aligner PRO: Correzione di una malocclusione di classe II con distalizzazione superiore utilizzando il protocollo A8 e salto virtuale asimmetrico
Dott.ssa Romina Vignolo Lobato
Questo caso, condotto dalla dott.ssa Romina Vignolo Lobato, illustra il trattamento di una paziente di 12 anni affetta da malocclusione di classe II. Utilizzando il sistema Angel Aligner Pro con il protocollo A8 e un salto virtuale asimmetrico, il trattamento ha consentito di risolvere l’affollamento dentale, correggere il morso e migliorare il profilo facciale in soli 11 mesi con 30 allineatori. L’approccio minimamente invasivo ha combinato efficienza e controllo preciso, offrendo risultati sia funzionali che estetici.



Correzione della retrusione mandibolare in pazienti in fase di crescita con il protocollo di avanzamento mandibolare A6
Dr. Giacomo Scuzzo
Questo caso illustra un approccio innovativo alla correzione della retrusione della mascella inferiore in pazienti in crescita, utilizzando Angel Aligner A6. Il sistema combina il trattamento ortopedico e ortodontico in un unico protocollo, consentendo l’avanzamento simultaneo della mascella inferiore e l’allineamento dei denti. Grazie alla pianificazione digitale e agli allineatori estetici, il trattamento è efficace e confortevole per il paziente. Questo caso è stato gestito dal Dr. Giacomo Scuzzo



Angel Aligner PRO: correzione di una malocclusione di classe III con distalizzazione dei molari inferiori
Dr. David González Zamora
Il Dr. David González Zamora ha trattato con successo una paziente di 19 anni con una malocclusione scheletrica e dentale di Classe III utilizzando Angel Aligner Pro. Il trattamento, durato 13 mesi, ha comportato la distalizzazione dei molari inferiori, la correzione del morso crociato e l’allineamento radicolare dei canini inferiori, il tutto completato in 39 allineatori senza rifiniture. Il sistema a doppio materiale “7+3” ha garantito un controllo preciso e risultati efficienti.

